【世界心梗日】11月20日,世界心梗日,从心守护生命
| 索 引 号 | CJS017/2025-000211 | 主题分类 | |
| 发布机构 | 昌吉市卫生健康委员会 | 发文日期 | 2025-11-21 20:12:02 |
| 名 称 | 【世界心梗日】11月20日,世界心梗日,从心守护生命 | ||
| 文 号 | 主 题 词 | 世界 11 20 | |
| 来 源 | 昌吉市人民医院 | ||
【世界心梗日】11月20日,世界心梗日,从心守护生命
中国有心血管疾病患者3.3亿,其中冠心病人数高达1139万,心肌梗死是冠心病最严重的急性并发症,是导致心源性猝死的主要原因。2023年中国城市居民冠心病死亡率为121.59/10万人,农村居民为130.14/10万人。随着经济的发展,近年来居民冠心病的发病率和死亡率都在上升,而且越来越年轻化。为提高公众对心肌梗死的认识,本期带您一览心肌梗死相关知识。
什么是冠心病和心肌梗死?
1
冠心病
冠状动脉粥样硬化性心脏病,简称为冠心病,是一种缺血性心脏病。冠状动脉(冠脉)是负责向心脏供血的动脉, 当冠状动脉发生因胆固醇及其他物质堆积形成的斑块所引起的动脉壁狭窄或闭塞,可导致心肌缺血、缺氧或坏死,触发胸痛、胸闷等不适的情况。
2
心肌梗死
急性心肌梗死(AMI),又称心肌梗死,是由于冠状动脉急性阻塞导致相应心肌区域供血不足,使心肌坏死的影响生命的疾病

心肌梗死有什么症状?
冠状动脉疾病的首发表现可能是心肌梗死。因此,知道如何识别心肌梗死很重要。
心肌梗死的症状包括:
● 胸部中央疼痛、有压迫感或不适;
● 上半身其他部位(包括手臂、背部、颈部、颌部或胃)疼痛、有麻刺感或不适;
● 呼吸急促;
● 恶心、呕吐、嗳气或烧心;
● 发汗或皮肤发冷和湿粘;
● 心动过速或不规律;
● 感觉头晕或头晕目眩。
如果这些症状持续超过10分钟或反复出现,请立即呼叫救护车。不要尝试自行前往医院。
除了这些,还有几个不典型的心绞痛或者心肌梗死症状,心内科医师但凡听到,立即耳朵都竖起来了,称为典型的“非典型胸痛”症状:
● 负重、爬楼、情绪激动或吹冷风后,咽部、喉咙发紧,休息几分钟能改善,反复出现;
● 负重、爬楼、情绪激动或吹冷风后,一侧或双侧下颌胀痛,休息几分钟能改善,反复出现;
● 负重、爬楼、情绪激动或吹冷风后,一侧或双侧牙齿疼痛,休息几分钟能改善,反复出现;
● 以上症状有出现了,休息不缓解了,超过20分钟以上,大概率心肌梗死了。
某些冠状动脉疾病患者即使在未发生心肌梗死时也会出现胸痛。这最有可能发生在他们散步、爬楼梯或四处走动时。但有新发、异常胸痛时,请立即就诊。
有针对冠状动脉疾病的检查吗?
医护人员怀疑冠状动脉疾病时,可能安排血液检查及1项或多项下列检查:
● 心电图(简称ECG):该项检查能测量心脏电活动。
● 超声心动图:该项检查利用超声波来创建心脏搏动时的图像。
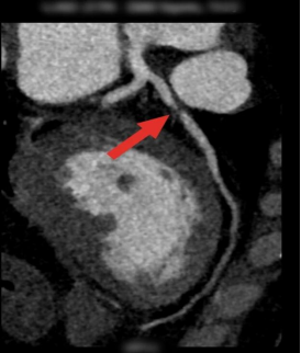
● 冠脉CTA(冠状动脉CT血管造影):该项检查可以判断血管的狭窄程度或者堵塞。

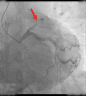
心导管术:该项检查可以显示出心脏中的任何动脉是否堵塞。

如何治疗冠状动脉疾病?
1改变生活方式
● 戒烟;
● 多吃水果、蔬菜和富含纤维的食物,不吃含糖量大的食物;
● 在一周中选择超过一半的日子步行或参加某种体力活动;
● 运动;
● 超重者努力减重。
2药物
使用药物治疗心脏病非常重要,需谨遵医嘱用药。医生可能使用以下药物:
● 降低胆固醇的他汀类药物;
● 降低血压的药物;
● 阿司匹林或帮助预防血凝块形成的其他药物;
● 治疗糖尿病的药物。
冠状动脉疾病导致胸痛(即“心绞痛”)的患者还可使用镇痛药。这些药物包括“硝酸盐类药物”“β受体阻滞剂”等。
3支架术
医生会将一根细塑料管置入堵塞的动脉内,并用小气囊来撑开堵塞部位。随后,在该动脉内放置一个小型网状管(即“支架”)来使其保持通畅。

4心脏搭桥手术
又称“冠状动脉旁路移植术”(简称“CABG”),进行该手术时,医生会从您身体的其他部位取一段血管,然后将其接在堵塞区域的上、下游,以使血液绕过堵塞处,到达缺血的心脏部位。
参考文献
1.《中国心血管健康与疾病报告2023》


